

頸部疼痛當感冒輕忽 15%病人進展成甲狀腺低下
在秋冬交替感冒盛行的時節裡,出現喉嚨痛、發燒等症狀相當常見,不過當感冒總是好不了時,可要留意甲狀腺功能是否出現異常!36歲的蔡小姐從上月開始因為咳嗽、喉嚨腫脹、聲音沙啞等問題,不斷往返診所領藥但不見好轉,直到近期發燒不退、頸部還出現被掐住的壓迫感,到醫院抽血、超音波檢查後,才確診亞急性甲狀腺炎!
萬芳醫院新陳代謝科醫師劉漢文說明,亞急性甲狀腺炎,是甲狀腺組織的發炎反應,因為可能與病毒感染有關,也稱為病毒性甲狀腺炎,好發於30~50歲的女性,其病狀為甲狀腺腫大、壓痛,疼痛感可能蔓延至喉嚨、下巴、耳朵,偶爾會伴隨發燒,而處在不同的發炎時期,也會出現甲狀腺亢進或低下的症狀。
由於亞急性甲狀腺炎和上呼吸道感染的病毒有關,因此在確診前的1~4周裡,病人會出現疲勞、全身痠痛、咳嗽流鼻水等普通感冒症狀,劉漢文強調,因為亞急性甲狀腺炎的發燒、頸部疼痛病徵與感冒相似,容易被忽略,雖說大部分情況能夠自癒,但病程往往長達數月,若沒有保持追蹤,恐已進展成永久性甲狀腺功能低下而沒有發現!
在秋冬交替感冒盛行的時節裡,出現喉嚨痛、發燒等症狀相當常見,不過當感冒總是好不了時,可要留意甲狀腺功能是否出現異常!36歲的蔡小姐從上月開始因為咳嗽、喉嚨腫脹、聲音沙啞等問題,不斷往返診所領藥但不見好轉,直到近期發燒不退、頸部還出現被掐住的壓迫感,到醫院抽血、超音波檢查後,才確診亞急性甲狀腺炎!
萬芳醫院新陳代謝科醫師劉漢文說明,亞急性甲狀腺炎,是甲狀腺組織的發炎反應,因為可能與病毒感染有關,也稱為病毒性甲狀腺炎,好發於30~50歲的女性,其病狀為甲狀腺腫大、壓痛,疼痛感可能蔓延至喉嚨、下巴、耳朵,偶爾會伴隨發燒,而處在不同的發炎時期,也會出現甲狀腺亢進或低下的症狀。
由於亞急性甲狀腺炎和上呼吸道感染的病毒有關,因此在確診前的1~4周裡,病人會出現疲勞、全身痠痛、咳嗽流鼻水等普通感冒症狀,劉漢文強調,因為亞急性甲狀腺炎的發燒、頸部疼痛病徵與感冒相似,容易被忽略,雖說大部分情況能夠自癒,但病程往往長達數月,若沒有保持追蹤,恐已進展成永久性甲狀腺功能低下而沒有發現!
治療亞急性甲狀腺炎,輕症者以服用消炎止痛藥為主,多數能緩解頸部的腫痛感,而症狀較嚴重的病人,則搭配類固醇使用並隨病況改善減少劑量。劉漢文提醒,在發炎期進入恢復期前,病人應每2~8周追蹤甲狀腺功能,有甲狀腺自體免疫抗體的族群,更要維持每年追蹤。最後,當民眾發現甲狀腺腫大、頸部疼痛時,可考慮是否有亞急性甲狀腺炎的可能性,盡快到醫院檢查確認。

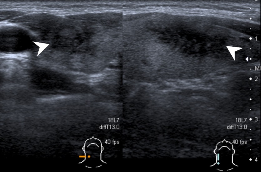
▲甲狀腺超音波可以看到發炎部位呈現低迴音。

