人工虹膜 - 軟式人工虹膜植入手術 傷口小恢復期短、外型更美觀
健康虹膜可根據環境光線的強弱來調節瞳孔大小,一旦虹膜受損就會影響瞳孔功能,嚴重時會影響到視力及外觀。而在治療上,包括先天性無虹膜症,以及後天虹膜損傷的病人,以前都只能用硬式黑色人工虹膜植入手術,不僅傷口切割面大,術後角膜的散光度數及外觀也受影響。目前萬芳醫院為全台唯一引進由衛福部許可的「軟式微創人工虹膜」(德國代理商HumanOptics),與過去硬式虹膜手術相較,新技術讓手術傷口只有0.2公分,且顏色也能客製化,外觀更美觀,恢復期也更短。
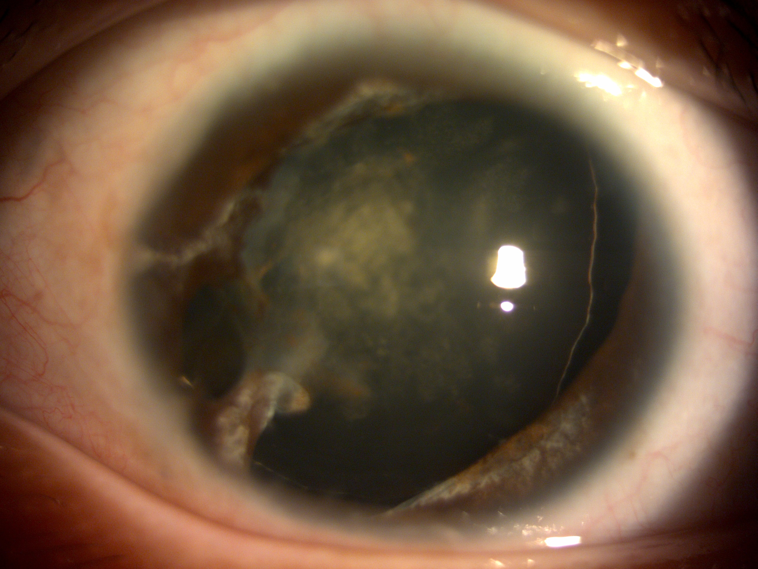
圖1為外傷性白內障及虹膜缺損病人之術前照片
圖2為進行人工虹膜植入及白內障手術之術後照片
脫位水晶體
由於眼睛的水晶體是靠懸韌帶固定在眼內,一旦韌帶發生問題,水晶體就可能會偏離正常的位置,進而導致視力下降或急性青光眼發作等。以往如要治療嚴重缺損的懸韌帶,常需犧牲水晶體囊袋來進行手術,但因囊袋去除,只能將人工水晶體固定在鞏膜或虹膜上,病人無法選擇像是散光或是多焦點等高階人工水晶體治療的選擇相對受限。萬芳醫院對此引進了改良型「囊袋張力支架」,可保留囊袋完整性並復位,使病人可依自己的條件與需求選擇契合的高階人工水晶體,不可以處理白內障的問題,同時可治療散光和老花眼,一次解決複雜型視力問題。目前有超過60位白內障病人成功接受此項新技術,術後視力恢復皆良好。
圖1為水晶體脫位病人術前照片
圖2為進行囊袋修復、白內障手術及置入多焦點人工水晶體之術後照片
眼整形 - 眼瞼下垂矯正、睫毛倒插矯正、眼瞼內翻及外翻矯正
眼睛睜開的力量與高度與提眼瞼肌、苗勒氏肌有關,例如提眼瞼肌力量較弱而無法拉動上眼皮,就會產生眼瞼下垂或眼皮不對稱的狀況。術前醫師將會進行整體的評估,包括眼瞼下垂的嚴重程度、剩餘提眼瞼肌的肌肉功能、是否有多餘鬆弛眼皮可以移除、眼瞼閉上的時候眼球生理性的往上旋轉,讓角膜可以被藏起來保護功能(Bell's phenomenon),以及確認眼瞼下垂的病因。有三種手術可進行眼瞼下垂矯正手術:提眼瞼肌切除手術、額肌懸吊手術、穆勒氏肌縮短切除術,依照不同病因或是下垂程度的不同來選擇。針對眼瞼內翻併睫毛倒插,及眼瞼外翻合併眼睛不適等症狀,都可以藉由眼瞼矯正手術來達到改善。
白內障手術 - 飛秒雷射、多種高階人工水晶體選擇
若因白內障導致視力模糊並達到影響日常生活的程度,需要接受白內障摘除及人工水晶體置入手術,除了小切口超音波乳化手術,萬芳醫院也引進飛秒雷射輔助白內障手術,以增加安全性及精準度。
引進不同功能人工水晶體供民眾可選擇,包含單焦點非球面、多焦點、延焦段、矯正散光、抗藍光等等,針對不同病人的病況又更多種的選擇,讓手術後看見的世界更加清楚。
複雜白內障門診
青光眼治療新選擇
萬芳醫院提供多種現代青光眼治療方式,除了完整的青光眼藥物和傳統小樑切除術之外,會依照病情需求,選擇最合適且安全的方案。
- 微創青光眼手術(Minimally Invasive Glaucoma Surgery, MIGS)切口極小、恢復快,可與白內障手術同時進行,對日常生活影響較低。
• iStent 小型微導流支架
• XEN 青光眼微創引流手術 - 青光眼引流管手術,透過植入特殊引流裝置,幫助眼內房水排出,達到降低眼壓的效果。
• 亞默氏引流閥(Ahmed glaucoma valve)
• 保羅青光眼房水引流植入物(Paul glaucoma implant) - 微脈衝雷射治療以低能量、間歇式微脈衝雷射溫和作用於睫狀體,降低房水生成,減少對周邊組織的傷害。
• 微脈衝睫狀體光凝術(Micropulse transscleral cyclophotocoagulation, MP-TSCPC)
斜視矯正手術
斜視矯正手術又稱"眼外肌調整手術"。主要的做法是將某一條外眼肌之固著點後移(減弱其張力),或截短相對的另一條外眼肌(增強其張力),或兩者併用。手術矯正幅度依術前檢查斜視偏斜的程度而定,矯正可能過度或不足,部分病人需經過兩次手術以上才能矯正成功。
眼外肌手術除改善外觀外,對恢復視力機能亦有幫助,例如促進小兒融像及立體感的發育、減輕眼睛疲勞、消除複視。唯有原先為弱視者,手術後仍需遵照醫師指示繼續治療及訓練視力。
眼球玻璃體注射手術
眼球玻璃體內注射手術為將治療藥物注射至眼球玻璃體內。依照眼科疾病,注射的藥物可分為 (1) 抗新生血管藥物,例如:癌思停(Avastin)、樂舒晴(Lucentis)、采視明(Eylea)。適用於老年性黃斑部病變、黃斑部水腫、脈絡膜新生血管、視網膜下新生血管、視網膜新生血管、新生血管性青光眼及糖尿病視網膜病變等,以穩定視力或延緩惡化。(2)抗生素或抗病毒藥物 : 治療細菌、病毒或黴菌感染引發之眼內炎或視網膜炎。(3)長效類固醇: 治療眼內黃斑部水腫或非感染性眼內發炎。
眼科雷射屈光手術中心
於1998年引進準分子雷射屈光手術儀,成立「眼科雷射屈光手術中心」,針對近視族群進行審慎評估及檢查,提供LASIK(Laser Assisted in Situ Keratomileusis) PRK(PhotoRefractive Keratectomy),另外也使用 PTK(Phototherapeutic Keratectomy)針對角膜表面病變組織進行雷射,可以治療復發性角膜糜爛等疾病。至今已進行近萬台雷射手術。
雷射屈光手術
虹膜固定式植入鏡片
虹膜固定式植入鏡片又稱植入式隱形眼鏡,適用於極高度近視與角膜厚度過薄不適合進行近視雷射手術的族群。優點為術後視覺品質佳、夜間視力佳、術後度數穩定度高、無須摘除水晶體、保留晶狀體自然調節之功能。植入式隱形眼鏡自從2005年已通過美國FDA食品與藥物管理局的審查許可,且經中華民國衛生署審查許可。可減少隱形眼鏡長期配戴所造成的併發症、例如角膜缺氧、角膜感染等等。也可避免角膜組織的傷害。
義眼重建手術
針對失去視覺機能及眼球失去固有的形狀、眼球內生長了惡性腫瘤(視網膜母細胞瘤、黑色素瘤)、交感性眼炎、疼痛的盲眼(例如青光眼末期),為求美觀或減少疼痛,會在眼窩植入「矽質球」或「整體性氫氧磷灰石」重建義眼。有些病患眼球萎縮程度輕微,則只要戴上「義眼片」即可,其活動靈活,外觀自然。 施行眼窩重建手術的病患,除了定期眼睛檢查外,也要注意另一個眼睛的安全防護。
角膜移植手術
角膜移植手術主要是將混濁的角膜組織切除,換上他人之正常眼角膜以改善視力。角膜移植可分為全層角膜移植及層狀角膜移植。 角膜移植適應症 · 光學性角膜移植:為了改善角膜之透明度及聚光能力,包括圓錐角膜、角膜失養症及變性,和由外傷引起的角膜疤痕,發炎或退化病變引起的角膜混濁等。 · 治療性角膜移植:角膜潰瘍對藥物治療效果不彰,或大部分組織受侵犯,即將侵犯鞏膜為了搶救眼球時。 · 構造性角膜移植:嚴重結構上的病變包括基質變薄和後彈力層膨出、角膜破裂合併相當程度的組織缺損時。 · 整形性角膜移植:如角膜外觀嚴重情形,為了改善眼部外觀時施行。
圖為全層角膜移植術後病人照片


